
Have you ever caught yourself covering your mouth with your hand when you laugh? Or pulling your upper lip down to hide your teeth when you talk, trying to keep your facial expression as natural as possible? But you don’t fool yourself—the embarrassment is still there. Broken teeth or nasty cavities can trigger this awkwardness… and then you let it drag on, and you fall into a vicious cycle where you sometimes don’t even dare show your teeth to the dentist, out of shame, out of embarrassment… and you kind of lock yourself away. It’s not just about looks—it’s a constant discomfort that eats away at your self-confidence, makes you dodge photos, selfies with friends, or even face-to-face chats. And what if I told you that sometimes, simple and natural treatments can flip that around… in just one session?
Why the embarrassment sets in and gets worse
It often starts with cavities or sometimes broken teeth that linger on your front teeth. Dark spots, holes, a tooth chipped almost to the gum… little by little, the insecurity grows. Lots of young adults (20-35) go through this, and it weighs heavy on social life and daily mood.
Relatively simple treatments to get back a natural smile
Good news: when the teeth aren’t too damaged yet (no deep root issues or major infection), you don’t need big work like crowns or veneers. Composite resin restorations can often do the trick as a first step. It also helps you get back into the dentist’s chair and trust a pro again. It’s a gentle approach: we just remove the decay and rebuild with a resin that matches your natural tooth shade as closely as possible. We rebuild.
The benefits of this approach
Natural look: color and shape picked to blend with nearby teeth—harmonious smile, nothing fake. You can easily tweak the tooth shape to suit what you want, within your bite limits. Low invasion: only the decayed tissue is taken out (and sometimes the nerve if the cavity’s too deep or the tooth too weak after removal). Fast: often in one longer session (2-4 hours depending on how many teeth). Affordable: cheaper than prosthetics. Confidence boost: tons of people leave with a smile they finally dare show—no more tension, no hand over the mouth. It really changes social life and mood.
But hey, it’s not magic either
Composite resins don’t last as long as veneers or crowns, and might need touch-ups later. They can stain a bit over time (coffee, tea, wine, smoking)—periodic polishing brings back a nice look. Not for every case: if the tooth’s too wrecked or the root’s hit, another fix might be needed. Without solid upkeep, cavities can come back → composites aren’t as tough.
To make it last as long as possible
The key? Get back on track right now. Nail your brushing technique. And above all: interdental brushes (top priority when spaces are wide enough—rule: scrub without forcing or floating) + floss (for tight contacts or when the brush won’t fit). That clears plaque between teeth → stops leaks and new cavities around the composites.
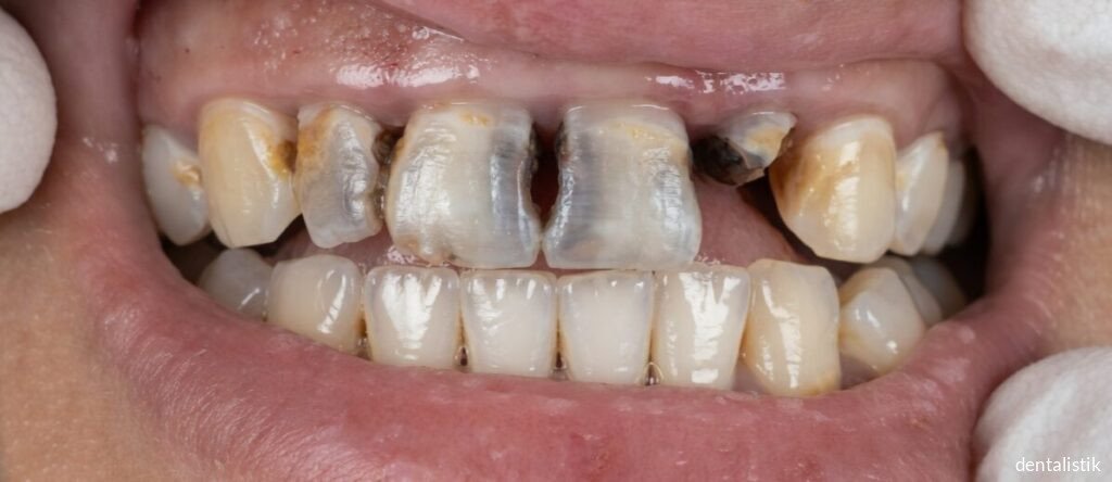
Illustrative example
Here’s a typical before/after on front teeth that were damaged: visible cavities and chips before, then composite restoration for a natural, seamless smile. Results vary by mouth, but it proves a harmonious fix is doable without full prosthetics.
The patient gets back confidence, trust in a dentist, and their smile! This step can make you actually enjoy dental visits—it’s often the gateway to keep going, treat other cavities, sometimes handle missing teeth, and find solutions for a healthy, functional, beautiful mouth


In summary
Getting back a smile you’re no longer ashamed of is often simpler than you think. When your front teeth are badly decayed or chipped but still salvageable, well-done composites can restore a natural look—and your confidence… sometimes in just one session. No need for major work to feel good in your mouth and smile freely without tension. The first step? Daring to walk through a dentist’s door—lots of people discover it’s way gentler than they imagined.
Do you ever hide your smile? What’s stopping you from booking an appointment? Or what finally pushed you to go? Share in the comments!
